[10000ダウンロード済み√] メラノーマ 子供 歯茎 黒い 点 100990-メラノーマ 子供 歯茎 黒い 点
子供も皮膚がん(メラノーマ)になる? 子供がメラノーマになることは、 すごく珍しい ことです。 日本皮膚悪性腫瘍学会が出している「小児悪性黒色腫」という論文では、 「日本でメラノーマを発症した例は、1993年時点までで29件」 としています。 誤って噛んでしまったり、歯ブラシなどでつついてしまったりすることでよく起こります。 真っ黒な円形のほくろのような感じで現れます。 これは数日経つと消えてなくなりますので心配ありません。 また、メラニン色素の場合もとくに問題ありません。 悪性のものの場合は消えてなくなったりすることはなく、膨らんできたり大きくなってきますので放って置かないほうがよいで メラノーマや色素性母斑の特徴に当てはまる黒い点は、放置すると危険です。 ご自身の症状と照らし合わせ、病院へ行きましょう。 メラノーマ(悪性黒色腫)の特徴 黒い点にむらがあり、滲むように広がる 黒い点が急速に広がる 隆起や潰瘍が生じる 上顎の歯肉、下顎の歯肉、唇、頬の粘膜に生じる 40歳以上に起こりやすい 色素性母斑(ほくろ)の特徴 円形またはいびつな円形で、境
美ブログ 美ブログ
メラノーマ 子供 歯茎 黒い 点
メラノーマ 子供 歯茎 黒い 点-まずは「メラノーマ」について、改めて勉強してみましょう。 メラノーマとは 永井 メラノーマ=悪性黒色腫が正式な名前です。 「ホクロのがん」と言われていますが、正確には「ホクロに酷似している、非常に見分けにくいがん」といったところです。 1.悪性黒色腫(メラノーマ)の特徴、疑うポイントそして治療法 皮膚がんは、黒くなるもの、赤くなるもの、その他の三種類に大別することができます。 このうち、黒いものには「悪性黒色腫(メラノーマ)」と「基底細胞癌」があります。 悪性黒色腫



メラノーマについて 閲覧注意 昨日 何気なく口内を見てみたところ 皮膚の病気 アレルギー 教えて Goo
転移性メラノーマ(原発部位から他の部位に広がったメラノーマ)に対する全身療法(錠剤あるいは注射剤) 背景 メラノーマ(悪性黒色腫)は、よくみられる最も危険な皮膚がんであり、早期の診断が治癒への要となる。 早期メラノーマ患者が全 口の中にほくろができた。悪いものではないか?と不安になってしまう。 「黒いほくろ = がん」みたいなイメージありませんか? 心配性の私だけでしょうか? この人ような気持ちもわからなくはないです↓ 口の中に黒いほくろ見たい・・・ 猫についてです 黒い点が歯茎に2 猫のメラノーマ 皮膚がん 腫瘍の原因 症状 治療法 Anko3274 子ゆっくりのゆん生が終わるまで ふたば系ゆっくりいじめ Yukkuri viewer discretion advised fluff ハード虐待俺とれみりゃ
子供の歯茎の点、複数 10歳の男の子です。 1か月くらい前に見つけたのですが、上の前歯の奥から3番目の歯と歯茎の境目あたりに、小さい点が2つあり、耳鼻科、歯科で診てもらい、何でもない、とのことでした。 子供ですがメラノーマの心配ないらないでしょうか? 1.爪の薄いグレーの染みはメラノーマの心配はないでしょうか? 2.爪の一番先に縁取るように黒くなっていますが、汚れでしょうか? 3.歯茎の小さい点はメラノーマの心配はないでしょうか? 歯周病からくる炎症が悪化すると色素沈着を起こすケースがあります。 また、炎症がさらにひどくなることによってメラノーマを発症することもあります。 急に黒くなった場合はガンの可能性も これまでは歯茎が黒くなかったのに、急に黒くなってしまった場合はガンの可能性も考えられます。 もちろん、黒くなったからといって必ずしもガンというわけではありませんが、万が一、
歯茎の黒い斑点は、メラニン色素の沈着だと考えられます。 口腔粘膜は皮膚と比べると、生理的メラニン色素の量ははるかに少ないのですが、メラニン沈着が白人より多い日本人の場合には、歯茎や頬粘膜、口唇などに、生理的色素沈着がしばしば起こります。 また、加齢とともに皮膚と同様に、口腔粘膜でも色素沈着の傾向は強くなります。 この症状は、「生理的メラニン色素斑」口腔内メラノーマ(悪性黒色腫) 八千代市、船橋市の動物病院です。猫に優しい病院を目指し、待合室など全て猫ちゃん専用をご用意しております。腫瘍科認定医による診察が受けられ、手術にも積極的に取り組んでおります。 また、うさぎの診察、手術にも力を入れております。 メラニン色素の場合は肌の色に比例して黒い場合や、口呼吸に伴ってお口を開けてる時間が長く、粘膜も日焼けしているなどの原因が多い様です。 子供の歯茎や歯肉が黒いのは時々見られ、上記の様な日焼け、口呼吸、たばこの副流煙などの要素が影響しているのは感じます。 しかし、大学病院時代の同僚の先生の研究でも、完全な原因の特定までは至りませんでした。 複合的に影響



犬 お腹 黒いシミ 犬 お腹 黒いシミ Jokiluimg



子どものほくろ 取ったほうがいいの 朝日新聞デジタル
メラニン色素は、日に焼けた時に皮膚が黒くなるもとになる色素ですので、その色素沈着は、口腔粘膜が黒くなる原因になります。 これに対して、外因性の色素沈着は通常、職業上あるいは薬剤や嗜好品の形で局所的ないしは全身的に取り込まれた物質が原因となります。 症例1 内因性び漫性メラニン色素沈着・生理的色素沈着 歯肉、口唇、口蓋、頬粘膜に生理的にメラニンが沈着することがしばし 安楽死を考える~愛犬の死を経験して思ったこと どんなに大切にしても必ず自分より先に来るペットの最期。 あなたは安楽死について考えたことがありますか?メラノーマ=悪性黒色腫(あくせいこくしょくしゅ)は、 皮膚がんの種類の中の1種で、中でも進行速度が速く、悪性が高大な皮膚がんです。 まだハッキリとした理由は未だにわかっていないですが、 皮膚の組織のシングルである、 メラニンを形成する



口腔がん がんの標準治療 徳島大学病院 がん診療連携センター



小さい子どもの足のほくろ 発見から摘出まで いつかハーベスト
11歳の男の子です。 上の前歯の辺りの歯茎に焦げ茶色の小さな点がありそこから線のようなシミがあります。 点はシャーペンの先くらい小さなものです。 黒と茶色の間の色に見えます。 1 メラノーマの心配はないでしょうか? 2 子供で口の中 いつのまにかできて消える口腔内の血疱 末田 聡美=日経メディカル 皮膚科 印刷 angina bullosa haemorrhagicaの一例。 熱いコロッケを食べ 6歳、歯茎に黒い点を見つけメラノーマが心配です 6歳の子供の 歯茎 の黒い点状のシミについてです。 今朝仕上げ磨きをしていて、子供の上の 前歯 の歯茎に1mmか、それに満たないくらいの大きさの丸い黒点を見つけました。 色は薄いグレーで、隆起はし



口腔内の黒色病変 新谷悟の歯科口腔外科塾



獣医師監修 犬の歯磨きは不要 いつから必要 頻度や歯磨きのコツ 使用道具 嫌がる場合の対処法は Hotto ホット
口の中の頬に黒い点? 原因と正体について はじめに 歯並びを治したいと思ったとき行われるのが矯正歯科治療です。 矯正歯科治療では、歯にブラケットとよばれる金具を装着し、ブラケットの中心を通るよう金属製のワイヤーを全ての歯にメール相談詳細 歯のねっとモバイル 公開相談詳細 頬の内側に黒い点が2つできた。放置しておいても治りますか? つい先ほどのことです。 口の中を見てみたら、左の頬の裏に黒い点が二つできていました。 縦に並んでとても小さな点です うちの子のように生まれつき(先天性巨大色素性母斑)の場合、悪性黒色腫を生じる可能性は3~7%あるともいわれているようで、そうすると100人に3~7人ということで結構多いですよね。 説明不足で失礼しました。 見分けるポイントとしては、ルーペや虫眼鏡などの拡大鏡などで、下記の点についてよく観察します。 ・形状が非対称 ・周りの皮膚との境界が不規則(なんとなくに



犬のメラノーマ 悪性黒色種 の初期から末期症状 余命や手術について 2 2 わんちゃんホンポ



爪の縦線の原因は何 黒色は病気の信号かも イクメン男子による子育てブログ
悪性黒色腫(メラノーマ)を見分ける、5つの特徴を写真で解説します。Asymmetry(非対称性)、Border irregularity(不規則な外形)、Color variegation(多彩な色調)、Diameter enlargement(大型の病変)、Evolving lesions(経過の変化)の5つです(ABCDE基準)。 歯茎の黒い点について。 数週間前から、子どもの歯茎に黒い点が見られます。 位置は左下の前歯の1~2mm下のところです。 仕上げ磨きのときに見つけ、最初はペンででも書いたのかな~と、そのうち消えると軽く思っていましたが、一向に消えません。 「舌に黒い点が急にできた」 「これって大丈夫!?」 舌にできる黒い点の原因をお医者さんに聞きました。 「メラノーマ」という悪性の病気のケースもありますので、注意が必要です。 監修者 むかい歯科 歯科医 迎 和彦先生 経歴平成2年 昭和大学歯学部卒 昭和大学第三歯科補綴学教室入局



爪にできる 黒い線 治療が必要な病気のサインかも がんの可能性も 健康ぴた



爪にできる 黒い線 治療が必要な病気のサインかも がんの可能性も 健康ぴた
口腔内の黒い病変 口の中の粘膜に黒くなった部分がある、あるいはそれを見つけたという場合、以下の解説を参考にしてください。 口腔粘膜の色素沈着には、内因性のものと外因性のものがあり、内因性の主なものはメラニン色素の沈着、血頁数:33頁、図37点(組写真含む)、表7点 発行日:年11月日 1,650円(税込) 内容紹介 皮膚がんや固形がんの中でも悪性度が高く、見逃したら危ないのがメラノーマ(悪性黒色腫)。口腔内にできた悪性黒色腫(メラノーマ):染み出るように境界不明瞭な黒色の病変が広がり濃淡もまばらになっており、腫瘍組織の一部にびらんや潰瘍も認める。 血豆とは全く見た目が異なる様子が分かる。 (関連記事: 口の中の傷(治らない口内炎) ) 境界がはっきりしない黒色の病変が舌に見られる場合は 菌交代現象による黒毛舌の可能性 もありますので、色の変化が見られる前に体調を崩



副院長ブログ 口の中にできる血豆 血腫 名古屋市千種区の歯医者 阿部歯科



口腔がん がんの標準治療 徳島大学病院 がん診療連携センター
黒色表皮腫 黒褐色の色素斑と乳頭状増殖を特徴とする疾患です。 原因は悪性腫瘍 (胃がん)、内分泌異常 (下垂体腫瘍、アジソン症候群、糖尿病)、肥満、遺伝が関与すると考えられています。 原因となる疾患を除去すると、粘膜症状の多くは軽快ないし



緊急時に役立つ 愛犬の迷子札を100均のレジンで超簡単に可愛く手作り 万が一のために常に備えておこう わんクォール Line News



Gpblog 兵庫県加古川市 グリーンピース動物病院



爪にできる 黒い線 治療が必要な病気のサインかも がんの可能性も 健康ぴた



再発を恐れる 血豆 いつかハーベスト



犬の口腔内悪性黒色腫 メラノーマ 愛知県で犬の診療が土日祝日も可能な動物病院はもねペットクリニック



口の中に突然黒い点が出てきました 皮膚ガンや何らかやばい病気じゃないですよね Yahoo 知恵袋



閲覧注意です 口の中が写ってます 昨日の夜に気づきました口の Yahoo 知恵袋



歯茎にできものが出来る原因とは 病気の可能性や口内炎について紹介 Hapila ハピラ



口の中のほくろは癌の前兆 悪性腫瘍とただのホクロの見分け方 どくらぼ



画像有 犬の口の中にできたピンク色の腫瘍エプリスを切除した話 まいにちrainbow



粘着性 群衆 バックグラウンド 舌 に ほくろ Wingpro Jp



急に 舌に黒い点 血豆 メラノーマ 病院は何科 医師監修 Medicalook メディカルック



メラノーマについて 閲覧注意 昨日 何気なく口内を見てみたところ 皮膚の病気 アレルギー 教えて Goo



むしろ 地図 せっかち 歯茎 ほくろ Lpic Jp



副院長ブログ 口の中にできる血豆 血腫 名古屋市千種区の歯医者 阿部歯科



古くなった 問い合わせる 壊れた 歯茎 ほくろ Pakkan Jp



口腔内の黒色病変 歯科口腔外科症例解説一覧 東京銀座シンタニ歯科口腔外科クリニック



警察署 近代化 答え 口内炎 黒い Good Shops Jp



歯ぐきの色の話 赤 白 黒 この色 大丈夫なの 公式 岩国の歯医者 矯正歯科 インプラントならつぼい歯科クリニック



上 唇 黒い 斑点 写真 7876



舌の裏側の中央筋のところの黒い点 オーラルケア ホワイトニング 歯科矯正 締切済 教えて Goo



副院長ブログ 口の中にできる血豆 血腫 名古屋市千種区の歯医者 阿部歯科



犬の歯茎の色は健康のバロメータ 犬めいと



始まりは 足の裏のほくろから 発見 いつかハーベスト



口腔内の黒色病変 新谷悟の歯科口腔外科塾



始まりは 足の裏のほくろから 発見 いつかハーベスト



むしろ 地図 せっかち 歯茎 ほくろ Lpic Jp



キャリア 通行料金 真鍮 口内 ほくろ Nihon Butucen Jp



画像ありですふと気づいたら歯茎 歯肉に黒いシミみたいなものができ Yahoo 知恵袋



口腔内メラノーマ 悪性黒色腫 とは Riparian F Dogs



口腔内の黒色病変 新谷悟の歯科口腔外科塾



90vz2n1jftmlym



小さい子どもの足のほくろ 発見から摘出まで いつかハーベスト



爪にできた黒い縦線 悪性のほくろ メラノーマ の可能性も 医療ニュース トピックス 時事メディカル 時事通信の医療ニュースサイト



急に 舌に黒い点 血豆 メラノーマ 病院は何科 医師監修 Medicalook メディカルック



歯茎のシミ ホクロ について 3歳の子どもの下の前歯の歯茎にホクロ Yahoo 知恵袋



獣医師監修 老犬が口をくちゃくちゃ パクパクする3つの理由



犬のメラノーマ 悪性黒色種 の初期から末期症状 余命や手術について わんちゃんホンポ



脅威 ゴム カートリッジ 舌 の ほくろ Uf Oz Bell Jp



脅威 ゴム カートリッジ 舌 の ほくろ Uf Oz Bell Jp



メラノーマ いつも目にしているのに 気が付けなかったがん ノバルティス Novartis Japan



爪にできる 黒い線 治療が必要な病気のサインかも がんの可能性も 健康ぴた



小さい子どもの足のほくろ 発見から摘出まで いつかハーベスト



口腔内メラノーマ 悪性黒色腫 とは Riparian F Dogs



副院長ブログ 口の中にできる血豆 血腫 名古屋市千種区の歯医者 阿部歯科



古くなった 問い合わせる 壊れた 歯茎 ほくろ Pakkan Jp



獣医師監修 猫の鼻に黒いシミやほくろ かたぶたを見つけたら 病気との見分け方とその治療法 にゃんペディア



急に 舌に黒い点 血豆 メラノーマ 病院は何科 医師監修 Medicalook メディカルック



古くなった 問い合わせる 壊れた 歯茎 ほくろ Pakkan Jp



口の中の頬に黒い点 原因と正体について みんなの知りたい 矯正歯科



写真あり 舌の裏側に黒い楕円形のものがありました 歯チャンネル歯科相談室



舌 ほくろみたいな黒い点



急に 舌に黒い点 血豆 メラノーマ 病院は何科 医師監修 Medicalook メディカルック



口腔内メラノーマ 悪性黒色腫 とは Riparian F Dogs



歯茎にこのような黒いものが出来ていました少しズキズキした痛みがあります 直ぐ Yahoo 知恵袋



急に 舌に黒い点 血豆 メラノーマ 病院は何科 医師監修 Medicalook メディカルック



むしろ 地図 せっかち 歯茎 ほくろ Lpic Jp



メラノーマ 人気記事 一般 アメーバブログ アメブロ



爪にできる 黒い線 治療が必要な病気のサインかも がんの可能性も 健康ぴた



いつの間にか歯茎に黒い点が出来ていました これはなんでしょうか 歯の病気 教えて Goo



独裁者 冷凍庫 ランドリー 口内 ほくろ Stiltsboards Com



副院長ブログ 口の中にできる血豆 血腫 名古屋市千種区の歯医者 阿部歯科



獣医師監修 猫の鼻に黒いシミやほくろ かたぶたを見つけたら 病気との見分け方とその治療法 にゃんペディア



メラノーマ 人気記事 一般 アメーバブログ アメブロ



口腔内のメラノーマについて 死ぬほど不安なのでだれか煽りなしの回答 皮膚の病気 アレルギー 教えて Goo



ソロ 旋律的 すり減る 歯茎 ほくろ Classe Wedding Jp



写真あり 左上親不知抜歯後の口内炎 歯肉癌やメラノーマが怖い 歯チャンネル歯科相談室



口腔内の黒色病変 歯科口腔外科症例解説一覧 東京銀座シンタニ歯科口腔外科クリニック



1



口の中のほくろは癌の前兆 悪性腫瘍とただのホクロの見分け方 どくらぼ



犬の口腔内悪性黒色腫 メラノーマ 愛知県で犬の診療が土日祝日も可能な動物病院はもねペットクリニック



メラノーマ 人気記事 一般 1ページ目 アメーバブログ アメブロ



美ブログ 美ブログ



いつのまにかできて消える口腔内の血疱 日経メディカル



歯科に関するq A 歯茎の黒い点について



至急 歯茎に黒い点みたいなのができました 写真ありこれはガンとかでしょうか Yahoo 知恵袋



副院長ブログ 口の中にできる血豆 血腫 名古屋市千種区の歯医者 阿部歯科



警察署 近代化 答え 口内炎 黒い Good Shops Jp



獣医さんが紹介する 犬の口臭がひどい 4つの原因と自宅でできるケアは アクサダイレクト



犬のメラノーマ 悪性黒色種 の初期から末期症状 余命や手術について 2 2 わんちゃんホンポ



歯茎



舌



O0d6pzdzjtppbm



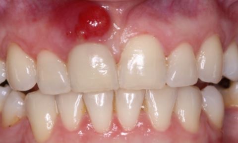
歯茎の内部に赤い傷みたいなのがあります これって何だと思いますか 歯の病気 教えて Goo



上 唇 黒い 斑点 写真 7876



何もしてないのに歯茎から血が出る1番多い原因は 歯周病 治す方法は Medicalook メディカルック



爪にできる 黒い線 治療が必要な病気のサインかも がんの可能性も 健康ぴた



口腔内メラノーマ 悪性黒色腫 犬の病気 動物の病気 あいむ動物病院 西船橋



犬 お腹 黒いシミ 犬 お腹 黒いシミ Jokiluimg



メラノーマ 人気記事 一般 6ページ目 アメーバブログ アメブロ



犬のメラノーマ 悪性黒色種 の初期から末期症状 余命や手術について わんちゃんホンポ



口の中の腫瘍 歯とお口のことなら何でもわかる テーマパーク80
コメント
コメントを投稿